首页
关于我们
公司简介
荣誉资质
组织架构
企业文化
公司理念
企业精神
公司商标
产品展示
口腔数字化3D智能智造
活动义齿
精密附件
病例展示
固定类义齿
新闻资讯
公司新闻
行业新闻
人才招聘
人才理念
人才招聘
公司服务
发货指南
定单下载
进出货时间
联系我们
中文
中文
EN
您的位置:
首页
>
产品展示
>
病例展示
>
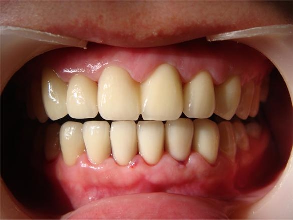
Clinical case display A-3
口腔数字化3D智能智造
活动义齿
精密附件
病例展示
固定类义齿
Clinical case display A-3
欢迎咨询
服务热线
0755-86145199
产品详情
上一条:
临床病例展示A-2
下一条:
Clinical case display A-4
推荐产品
Clinical case display A-1
临床病例展示A-2
Clinical case display A-4
QQ咨询
QQ咨询
联系热线
0755-86145199
置顶